客服中心

营销总部:广州市天河区员村二横路8号全丰商业大厦8F02

电话(直线):020-37038647

贺经理:13538978162

技术热线:181-0225-6079 

E - mail:weiscope@163.com

 

产品展示
数码成像显微镜及分析软件
首页 >> 产品展示 >> 数码成像显微镜及分析软件
Weiscope Wimage显微图像处理软件
发布日期:2013-09-23

·         Weiscope相机专业配置软件Wimage简介

  Wimage支持所有Weiscope品牌的相机;

  5个独创的侧边栏,界面友好,上手快;

  支持多层式测量,确保测量与图像独立性;

  超精细颜色引擎;

  语言支持不受限;

  多种实用处理功能;

  兼容Windows XP, Vista, 2008, 7/8/10(32/64)/Mac OSX/Linux,免驱安装

  医学显微成像、工业检测;

  机器视觉与天文观测;

Wimage软件主要包含了什么?

Wimage系广州微域光学仪器有限公司著名的相机控制软件. 主要提供全面控制相机功能并通过Ultra FineTM 颜色引擎泵出高速视频流给计算机的USB接口,Ultra FineTM颜色引擎包含精致的处理RAW数据的流水线以实现传感器探测数据到景色的转换. 更进一步的,   Wimage还提供图像灰度校正,图像2D测量,图像拚接,景深延拓,视频水印、颜色合成,图像分割与计数以及图像处理等众多高级视频或图像处理功能.

       Wimage的多语言机制可以支持任意语言,目前包含但不限于英文,简体中文,繁体中文, 德语日语俄语法语意大利语, 波兰语, 土尔其语等.

     Wimage完全兼容Weiscope全系列相机,所有的相机仅需一个驱动. 更进一步, Wiamge可以使用第三方支持有TwainDirectShow接口的任何第三方相机.

      强大的 多合一版本Windows/Linux/Mac OS SDKs供用户进一步开发.

      Wimage广泛应用于医学显微成像,工业探测,机器视觉,天文观测等领域并且已经成为相机工业,最佳软件,并且受到美国教育部 强力推荐软件.

UI界面精致直观

·         菜单与工具条设置合理确保快速操作;

·         专业集成了5个侧边栏 -- 相机, 文件夹, 撤消/重做, , 测量;

·         舒适的操作方法(双击或右键上下文菜单);

详尽的帮助手册;

专业的相机控制面板

曝光与增益

自动曝光(预设曝光目标值),手动曝光(曝光时间可以手动输入与滑动条设置); 增益高达5;

白平衡

高级单击智能白平衡设置、更可通过手动设置色温与色彩调整白平衡;

颜色调整

色彩,饱和度,亮度,对比度, 伽马值初始高速调整功能;

帧速率控制

针对不同的电脑与USB性能,可通过调整帧速率实现相机超强的兼容;

光源频率控制(防闪烁)

自然光/DC, AC 50 HZ, AC60 HZ选择按钮彻底消除视频闪烁;

镜像

选择水平l”垂直选择可调节样品方向确保同目视系统方向一致;

抽样提取与邻域平均以及其他功能

邻域平均可以提高视频流的信噪比; 而抽样提取模式可以保证视频流的锐度. 支持视频流的直方图扩展, 图像负片与正片切换, 灰度校准, 清晰度因子计算以方便视频对焦.

参数保存

装载, 保存, 覆盖,载入,导出自定义相机面板控制(包括校准信息,曝光参数与颜色设置信息等);

处理功能专业、处理结果实用

视频功能

各种视频专业处理功能: 视频广播; 定时捕获; 视频录像; 视频水印; 水印移动对准; 水印旋转对准; 视频网格叠加; 视频测量; 视频定标, 灰度定标校准; 视频高动态(HDR);视频景深扩展; 视频图像拚接; 视频比例尺、日期等叠加;

图像处理与增强

图像对比度控制与调整、图像去噪, 各种图像滤波算法,图像数学形态学算法,图像旋转,图像缩放以及图像打印等;

2D测量

方便实用的视频与图像尺寸校准,各种视频与图像二维几何量测量如长度、面积、周长以及角度等等.测量结果可以根据图像特性或首选项进行控制;

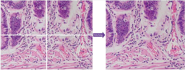
图像拚接

图像拚接可以自动将序列图像拚接成大幅面图像. 拚接过程对图像排列次序任何要求;支持视频窗口, 图像窗口,浏览窗口拚接操作.

EDF(景深延拓)

景深扩展可以通过聚焦不同层的图像,得到超越常规景深的超清晰图像。Wimage支持在三种窗口的EDF景深扩展:即视频窗口、图像窗口以及浏览窗口.针对不同的图像,Wimage还提供了最大对比度、加权平均以及FFDSSD等三种不同的景深扩展算法. 另外不考虑了不同聚焦图像之间存在的平移、旋转以及比例变化图像之间的自动景深扩展以确保EDF的精度与快速性;

专业分割与计数

Wimage的分割与计数提供了6种图像分割方法供用户根据不同的图像特性调用,这6种分割方法是:分水岭,暗OTSU,亮OTSURGB直方图,HSV直方图,颜色分块等。用户可以选择这6种分割方法中的任意一种方法进行分割,但是在选择任意一种分割方法以后,其他分割方法会被禁用.

       在分割完成以后,可能存在计数对象的粘连情况,可通过手动分割对粘连对象进行人工分割;

       在确认达到预期的结果以后,可通过选择计数结果菜单,实现对分割对象进行计数结果统计与分析.

图像叠加去噪

Wimage图像叠加去噪功能引入先进的图像匹配技术,用户只需录制自己待叠加图像的一小段视频,就能够在视频多帧图像之间存在位移、旋转及放大率改变的情况下叠加输出高保真的图像,简单易用.

颜色合成

彩色合成可使用黑色和白色荧光源图像来创建和配置彩色合成图像。荧光探针与颜色可以直接从预定义的数据中选取。特殊探针的染料数据库也可以由用户自己建库.

                                                                                 图像拼接


                            图像分割与计数                                                                             图像叠加去噪


                          荧光彩色合成                                                                                    显微景深层次融合

超强的兼容性   

相机视频接口

提供Twain, DirectShow, Labview, SDK安装包(原生C++C#

支持操作系统

兼容Microsoft® Windows® XP / Vista / 7 / 8 (32 & 64), Mac OSX, Linux

语言支持

语言支持可手动添加,目前支持英文,简体中文,繁体中文, 德语日语俄语法语意大利语, 波兰语, 土尔其语

硬件需求基本

PC基本配置要求

CPU: Intel Core 2 2.8GHz 或更高

内存:2GB or more

USB 接口:USB2.0USB3.0接口

:17”或更高

CD-ROM

 

收藏&分享
打印本页】 【顶部】【返回
Copyright © 2013 广州微域光学仪器有限公司 版权所有  粤ICP备11021017号